임플란트 적응기간,새로운 시작🌱



임플란트를 식립한 뒤 마주하는 임플란트 적응기간은 마치 새싹이 땅을 뚫고 올라오는 시간과 같습니다. 무뎌진 감각이 조금씩 돌아오고, 새로운 ‘뿌리’가 내 몸에 단단히 자리 잡아 갈 때까지의 여정이죠. 이 글에서는 임플란트 적응기간 동안 겪게 되는 신체적·정신적 변화와 슬기로운 관리법, 마음을 다독이는 팁까지 감성 가득한 비유와 함께 안내해 드립니다 😊
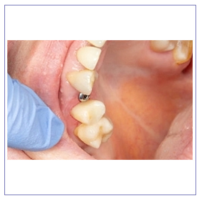
1. 임플란트 적응기간이란? 🌼
“적응기간”은 잃어버린 뿌리가 자리를 잡고, 다시 녹아든 시간입니다.
- 골유착 시기(뿌리 내리기): 임플란트가 주변 뼈와 단단히 결합되는 단계로, 보통 3~6개월 소요
- 보철 적응기(새싹 틔우기): 크라운이 장착된 후, 씹기·발음·감각이 서서히 자연치아처럼 회복되는 단계로, 1~3개월 추가
- 총 소요 기간: 평균 4~9개월(개인 건강 상태·부위별 차이)
이 기간은 마치 겨울 속에서 숨죽인 씨앗이 첫 빗방울을 맞고 땅 위로 살포시 머리를 드는 모습과 같습니다 🌧️🌱.
2. 임플란트 적응기간 중 겪는 변화와 감정 🎢
- 초기 통증과 불편감
- 시린 듯 욱신거리는 통증이 간헐적으로 찾아오고, 음식을 씹을 때 낯선 느낌이 듭니다.
- 감정 비유: 첫눈 오는 날, 조심스레 발을 내디딜 때의 설렘과 긴장감이 교차하죠. ❄️
- 감각 회복과 자신감 상승
- 1~2개월이 지나면 통증이 줄고, 살짝 압력이 느껴지던 감각이 부드럽게 바뀝니다.
- 감정 비유: 밤하늘에 별이 하나씩 모습을 드러낼 때처럼, 내 안에 숨겨진 웃음이 되살아나요 🌟.
- 말하기·발음 적응
- ‘ㅅ’, ‘ㅈ’, ‘ㅊ’ 같은 발음이 처음엔 어색하지만, 며칠간 의식적으로 연습하면 자연스러워집니다.
- 감정 비유: 새로운 악기를 처음 손에 쥐었을 때, 서툴지만 곧 아름다운 선율이 흐르는 과정과 닮았죠 🎶.
- 심리적 이완과 기대
- 초기 불안이 지나가면, 잃어버린 미소에 대한 기대감이 차오르고, 자신감이 점점 커집니다.
- 감정 비유: 새벽에 텅 빈 바다가 잔잔해지는 순간, 마음속 파도가 고요해지듯 안도감이 찾아옵니다 🌊.
3. 임플란트 적응기간 관리 꿀팁 🛁
- 1) 꼼꼼한 구강 위생
- 미세모 칫솔+치간 칫솔+워터픽으로 매일 2회 세척
- 항염·항균 가글로 하루 1회 헹구기
- 2) 식사 습관 조절
- 초기 1~2주: 죽·수프·무른 야채 위주로 부드럽게
- 이후: 씹기 연습 단계별로 딱딱한 음식 추가
- 3) 냉·온찜질 병행
- 첫 48시간: 얼음찜질로 부종·염증 완화
- 이후: 따듯한 찜질로 혈류 촉진
- 4) 약물·영양제 복용
- 처방 진통제·소염제는 지침대로 꾸준히
- 칼슘·비타민D 보충으로 뼈 건강 지원
- 5) 적절한 휴식과 스트레스 관리
- 무리한 운동·과도한 음주·흡연은 피하기
- 명상·가벼운 산책으로 마음 다스리기 🌿
4. 임플란트 적응기간 중 주의사항 ⚠️
- 심한 통증·발열·출혈: 감염 의심 시 즉시 치과 방문
- 보철물 흔들림·이물감 지속: 기계적 문제 있을 수 있어 점검 권장
- 잇몸 붓기·후퇴: 염증 경과 관찰 필요
- 장기간 불편감 지속(3개월 이상): 전문가 상담을 통해 추가 조치 검토
5. 임플란트 적응기간을 견뎌낸 환자의 한마디 🌟
“처음엔 정말 막막했어요. 하지만 꾸준히 관리하고, 작은 변화에도 감사하다 보니 어느새 통증은 잦아들고, 자연치아처럼 편안해졌어요. 이젠 밥 먹을 때마다 행복이 입 안 가득 피어납니다.”
– 실제 환자 D씨 (63세, 여성)
결론: 임플란트 적응기간, 함께 나아가요! 🌸
임플란트 적응기간은 단순한 통증 회복기를 넘어, ‘새로운 나’를 맞이하는 시간입니다.
- 불편함 속에서 성장하고,
- 세심한 관리로 단단해지며,
- 완성된 미소로 자신감을 되찾는 과정이죠.
이 여정을 잘 준비하고, 전문가와 상의하며 차근차근 걸어 나가세요.
임플란트 적응기간, 그 끝에는 더욱 환한 미소가 기다리고 있습니다! 😊


